Heart health has long been a concern for medical professionals and individuals alike. Are you aware that one significant yet often overlooked contributor to heart disease may lie in biofilm bacteria? Recent findings reveal a disturbing connection between biofilm bacteria and heart attacks, drawing attention to the role of oral bacteria in cardiovascular health. These bacteria, often hiding within biofilms in hardened arterial plaques, might not just be harmless residents—they could be the key players in triggering heart attacks. Understanding the implications of this discovery could lead to new strategies for prevention and treatment, providing hope for millions.
Understanding Biofilm Bacteria in Arterial Health
Biofilm bacteria, particularly those found in the mouth, have been associated with various health issues, but their link to heart disease is particularly alarming. Studies indicate that these bacteria can infiltrate arteries, where they form protective biofilms, making them resistant to both antibiotics and the body’s immune responses. In fact, research published in the Journal of the American Heart Association highlights how these dental bacteria can worsen arterial inflammation and contribute to plaque formation, leading to increased risks of cardiovascular incidents, including myocardial infarctions.
- Biofilm bacteria can survive inside arterial plaques for extended periods.
- They may provoke immune responses that inadvertently damage arterial walls.
Statistics show that individuals with dental infections often exhibit significantly higher levels of inflammation, paving the way for chronic heart conditions. This suggests a direct connection between oral health and the risk of developing heart disease.
The Role of Immune Responses in Heart Disease
It’s not merely the presence of biofilm bacteria that is troubling; it is the immune response they elicit. When oral bacteria enter the bloodstream and settle in arterial plaques, the body mounts an immune attack. However, if the bacteria are encased in biofilms, the immune system may fail to recognize them, allowing inflammation to escalate and potentially leading to a heart attack. This phenomenon has been well documented in recent autopsy studies, which reveal that many patients who suffered from heart attacks had detectable biofilm bacteria in their arterial plaques.
- The inflammatory response can cause significant damage to arteries, thickening the arterial wall and leading to blockages.
- Biofilms within plaques prevent the immune system from effectively eliminating the bacteria.
Furthermore, scientists theorize that environmental triggers may cause dormant bacteria within biofilms to become active again, escalating inflammation and the likelihood of plaque rupture.
Recent Discoveries Highlight the Connection
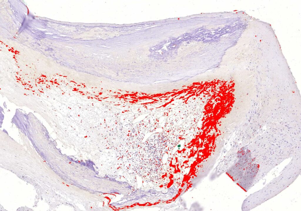
Researchers, including scientists like Pekka Karhunen, have reignited interest in the theory that bacterial infections contribute to cardiovascular disease. Back in the 1980s, an association between dental health and heart disease was observed, but it wasn’t until recently that strong evidence emerged linking biofilm bacteria to heart attacks. Studies involving samples from sudden death victims and surgical patients have shown that a significant percentage of these samples contained DNA from oral bacteria, predominantly viridans streptococci.
Karhunen’s groundbreaking work suggests that these bacteria’s persistence within plaques may lead to an immune response that inadvertently exacerbates the condition of the arteries. The presence of new blood vessels feeding into plaques potentially facilitates further bacterial infiltration, reinforcing the notion that heart health is intricately connected to oral hygiene.
Implications for Heart Health and Future Treatments
This revelation opens new avenues for heart disease prevention and treatment. By recognizing that biofilm bacteria can play a pivotal role in cardiovascular health, healthcare providers may be able to develop targeted therapies aimed at managing oral hygiene as a preventive measure. Current strategies may evolve to incorporate antibiotics or other agents focused on disrupting biofilms.
- Improved dental hygiene practices may significantly reduce the risk of heart disease.
- Research is underway to explore the efficacy of antibacterial treatments in preventing myocardial infarctions.
The key takeaway from this research is clear: maintaining oral health may be a vital component of maintaining heart health. As knowledge in this domain expands, healthcare providers can adopt a more integrated approach to patient care, addressing risk factors from all angles—oral hygiene, heart health, and overall well-being.
Conclusion: The Critical Link Between Oral Health and Cardiovascular Disease
The connection between biofilm bacteria and heart attacks emphasizes the importance of holistic health practices. As researchers continue to explore the mechanisms behind this relationship, individuals must prioritize good oral hygiene as a potential buffer against heart disease. By doing so, we may not only protect our smiles but also safeguard our hearts. For a deeper dive into this vital issue, check our related discussions on Public Health.
To deepen this topic, check our detailed analyses on Public Health section

